| HOME | ÜBER MICH | HOMÖOPATHIE | GALERIE | KONTAKT | AKTUELLES | LINK |
Unklare Schwellung im Bereich der Beugesehnen hinten rechts beim Pferd. Kein Trauma bekannt, Feststellung nach dem Ausritt. Kein Lahmen bei der klinischen Untersuchung. Eine möglichst genaue Diagnostik ist wichtig. Hier kann auch die Homöopathie wirkungsvoll eingesetzt werden, indem sie die Selbstheilung unterstützt.
Warzen (hier Sarkoid) beim Pferd: Auf dem Bild rechts sieht man neue kleine Sarkoide in der OP-Narbe nach chirurgischer Entfernung des Sarkoids. Am Bauch entsteht ein aufbrechendes ("ulceröses") Sarkoid. Homöopathie kann hier Heilung bringen. Die in der Literatur angegebenen Standardmittel helfen nicht immer. Eine genaue Anamnese ist nötig, um ein -vielleicht nicht auf der Hand liegendes- Mittel zu finden.
Maligner Knochentumor (Osteosarkom) beim Hund. Rechtes Vorderbein unauffällig, linkes Vorderbein zeigt die tumorbedingte Auftreibung in der Elle vor dem Handgelenk. Unterstützend kann hier die Homöopathie helfen. Amputation und Chemotherapie wird empfohlen. In diesem Fall Therapie der entzündungsbedingten Schmerzen unter Berücksichtigung des Tumors. Die Begleitung der Hundebesitzer ist eine wichtige Aufgabe des Homöopathen, oft kann ein trauriges Ende nicht abgewendet werden. Heilungsversprechen sind absolut unethisch!
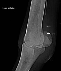
Röntgenbild des medialen Gleichbeins bei einem 2-jährigen Maultier. Man sieht eine feine Linie zwischen den beiden Pfeilen. Klinisch sieht man eine leichte Lahmheit. Der Besitzer informiert uns zusätzlich, dass das Tier auch Hahnenfuss gefressen habe... eine schulmedizinische wie homöopathische Knacknuss! Doch eine Gleichbeinlahmheit, die Gleichbeine sind ja auch ein Teil des Fesselträgers...? Im Röntgenbild sieht man sonst keine Veränderungen. Ist das Ganze ein so genanntes Artefakt?? Ich kenne diese Fragestellung aus meiner chirurgischen Tätigkeit beim Menschen. Wir behandeln homöopathisch, zuerst gegen eine mögliche leichte Vergiftung, dann gegen den eigentlichen Befund ausgehend von einer krankhaften Veränderung im Sehnen-/ Bänderbereich.
Die 2-jährige Hündin ist eine schwere Allergikerin. Die Gewebsuntersuchung aus den Hautveränderungen ergibt eine psoriatiforme Dermatose. Die Behandlung mit Cyclosporin und anderen Medikamenten bringt nicht den gewünschten Erfolg. Unter homöopathischer Behandlung kommt es doch zu einer Besserung, allerdings bekommt die Hündin eine Ohrenentzündung mit Malassezien. Ein halbes Jahr nach Diagnosestellung sieht man eine Schwellung in der Milchleiste. Die Histologie zeigt einen Spindelzelltumor, Verdacht auf Fibrosarkom. War es die Wahl der falschen Mittel? Sehen wir hier die Grenzen der Homöopathie? Oder stimmt meine Analyse über Allergien als Vorstufen von Krebs beim Hund? (Meine Diplomarbeit: "Allergie - Wegbereiter für Cancerinie beim Hund").
(Fotos Tierspital Zürich)